Um novo Sorriso Estético.
Descrição do caso clínico
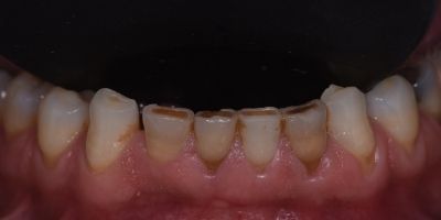
O Francisco Melo, perto dos 50 anos, não gostava de ver os seus dentes pequenos, com a perda da dimensão vertical.
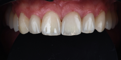
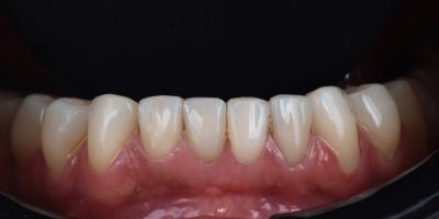
Através da colocação de facetas dentárias, desenhadas e personalizadas para o Francisco, foi possível corrigir a forma dos dentes, recuperando a verticalidade do sorriso.
Detalhes:
- Equipa médica: Dr. Dárcio Fonseca
- 3 consultas, num período de 10 dias
- Áreas médicas envolvidas: Facetas Dentárias e Laboratório BeLab
- Tratamento: colocação de facetas dentárias.


Marcar consulta de avaliação
A consulta de avaliação do seu caso será realizada pelo Dr. Dárcio Fonseca.
Nesta consulta é feito um diagnóstico preciso onde é apresentada a melhor solução de tratamento, assim como orçamento.
A primeira consulta é de alta importância, o diagnóstico tem de ser exato e individualizado!
Esta consulta inclui:
- Ortopantomografia
- Protocolo fotográfico
- Plano de tratamento

Dr. Dárcio Fonseca
Director Clínico e Médico Dentista
Cirurgia, Implantologia e Reabilitação Oral
- Licenciado pelo Instituto Superior de Ciências da Saúde-Sul, 1997;
- Fellow in Implant Dentistry pela Universidade de Miami;
- Pós-graduação em Implantologia Avançada e Reabilitação Oral minimamente invasiva;
- Pós-graduação em Medicina Dentária Digital;
- Pós-graduação em Ortodontia;
- Professor convidado em diversas universidades;
- Tutor de cirurgia prática privada, implantologia e reabilitação oral
cursos; - Autor de vários artigos publicados em revistas portuguesas;
- Palestrante em diversos congressos nacionais e internacionais;
- Membro do Grupo de Pesquisa PET;
- Dental Xpert;
- Presidente ALBI – Academia Luso-Brasileira de Implantologia.